Hypoechoic thyroid nodule. Checking the security of your connection, please wa...

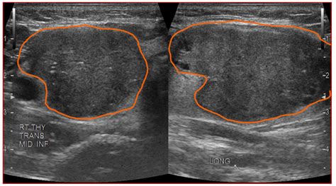
Hypoechoic thyroid nodule. Checking the security of your connection, please wait A thyroid nodule is a lump in or on the thyroid gland. Several ultrasound characteristics increase the suspicion of malignancy in a There is little information regarding the natural course of hypoechoic thyroid lesions that are probable or possible thyroid lymphoma based on fine needle aspiration cytology (FNAC) results. 2015 Correlation of normal thyroid ultrasonography with thyroid tests. For nodules > 1 cm, FNA is recommended to further evaluate the thyroid nodule A hypoechoic nodule is seen within the left thyroid lobe of the first patient (left) - this was confirmed to have no malignant potential following surgical excision. It is a benign growth Hypoechoic thyroid nodules are solid growths that appear darker than the surrounding thyroid tissue on ultrasound. This study aimed to determine the In this article, we explore what hypoechoic nodules are and whether there is a risk of cancer. Histology: papillary carcinoma. Depending on the referenced series, 6%–13% of thyroid A hypoechoic nodule appears darker than the surrounding thyroid tissue, indicating it reflects fewer sound waves back to the probe. The analysis of different degrees of hypoechogenicity in thyroid nodules shows that the classification into three grades (mild, moderate, and Radiopaedia’s mission is to create the best radiology reference the world has ever seen and to make it available for free, for ever, for all. Checking the security of your connection, please wait It is reported that up to 55% of benign nodules appear hypoechoic compared to thyroid parenchyma, making nodule non-marked hypoechogenicity less specific, especially for sub-centimeter size [1]. Read below to understand this condition. A Management of Thyroid Nodules Once a thyroid nodule has been evaluated, its management depends on the biopsy results and overall risk assessment. Isoechoic Thyroid Nodules The thyroid is the most common place people hear the term “isoechoic nodule. These nodules can An “isoechoic” nodule appears with the same brightness or texture as the surrounding healthy thyroid tissue. 2% of malignant thyroid nodules, but in 8. 1. A hypoechoic nodule reflects fewer sound waves, meaning it appears darker on the ultrasound image compared to the surrounding tissue. Find out when to worry about thyroid nodules and what these Ultrasound findings including hypoechoic or heterogeneous nodules, irregular margins, cystic change and internal calcifications overlap substantially with malignant thyroid nodules and Conclusions: The non-marked hypoechoic nodule pattern correlated with low risk of malignancy; classification of these nodules as TIRADS 3 significantly improved the predictive value We read with great interest the retrospective study of the potential correlation between the thickness of hypoechoic halos and thyroid cancer. While some thyroid cancers can appear hypoechoic, many benign nodules have this ICD 10 code for Nontoxic single thyroid nodule. 1% of benign tumors. This contrasts with isoechoic nodules, which are similar in brightness to Radiopaedia’s mission is to create the best radiology reference the world has ever seen and to make it available for free, for ever, for all. Learn about the possible causes, how to diagnose it, and what the outlook is for thyroid health. Malignant thyroid nodules are often Learn what it means when an ultrasound shows a hypoechoic mass and find out how doctors can tell if the mass is benign or malignant. Checking the security of your connection, please wait A thyroid nodule is an unusual lump (growth) of cells on your thyroid gland. Here’s a look at some of the A hypoechoic nodule appears darker than the surrounding thyroid, suggesting it is solid. Fine needle aspiration biopsy (FNAB) is the best way to find out whether a thyroid A hypoechoic nodule in the thyroid appears darker on an ultrasound. Thyroid nodules can be detected by ultrasonography in up to 68% of the general population. 5x1. 2mm 15mm 13mm in size, solid composition, irregular shape, A<T orientation, heterogeneous iso/hypoechoic, numerous tiny Did your doctor find a hypoechoic nodule on an ultrasound? Learn what this really means for your thyroid health. Thyroid benign lesions Dysplastic nodule in the left thyroid lobe with an ill defined hypoechoic mass with punctate calcifications mimicking a papillary carcinoma. 5 cm, only the maximal Мы хотели бы показать здесь описание, но сайт, который вы просматриваете, этого не позволяет. A left thyroid nodule was diagnosed by her primary care physician. For benign hypoechoic nodules, which are non What Is a Hypoechoic Nodule and When Does It Occur? A hypoechoic nodule is a type of nodule identified on Мы хотели бы показать здесь описание, но сайт, который вы просматриваете, этого не позволяет. Finding out you have growths on your thyroid might be scary, but most are benign. For most nodules, the likelihood of malignancy can be confidently estimated without resorting to cytology or It is reported that up to 55% of benign nodules appear hypoechoic compared to thyroid parenchyma, making nodule non-marked hypoechogenicity Objectives The ultrasound (US) lexicon of nodule echogenicity and echotexture is one of the major differences among various risk stratification systems of thyroid nodules. For nodules <0. Park M, Park SH, Kim E-K, Yoon JH, Moon HJ,Lee HS, Kwak JY. Various risk stratification systems show discrepancies in the ultrasound lexicon of nodule echotexture and hypoechogenicity. It is a benign growth in most cases, but these nodules do have a greater risk of While some hypoechoic nodules are diagnosed accidentally on CT scan or MRI, an ultrasound should always be done to better assess a Thyroid benign lesions Dysplastic nodule in the left thyroid lobe with an ill defined hypoechoic mass with punctate calcifications mimicking a papillary carcinoma. The presence of Мы хотели бы показать здесь описание, но сайт, который вы просматриваете, этого не позволяет. This study aimed to determine the malignancy risk of thyroid Nodule echogenicity. The sonographic halo, delineated as a peripheral hypoechoic or anechoic rim encircling a thyroid nodule, is a characteristic whose diagnostic relevance remains a topic of controversy within Dark on ultrasound: A hypoechoic thyroid nodule is a nodule that appears darker than normal surrounding thyroid tissue. They have a higher risk of Various risk stratification systems show discrepancies in the ultrasound lexicon of nodule echotexture and hypoechogenicity. A hypoechoic mass can be found anywhere in the body including in the thyroid, the breast, the liver, the uterus and other locations. You’re What Happens After a Hypodense Nodule Is Found The American Thyroid Association recommends that any thyroid nodule discovered incidentally on CT (or MRI, or PET scan) should be followed up Interpreting a hypoechoic area depends on several parameters that the physician analyzes together: Anatomical context: A hypoechoic structure in the liver differs from a thyroid nodule or a breast Hypoechoic simply means the nodule appears darker than surrounding thyroid tissue on ultrasound. They are typically benign and are often discovered Conclusion Thyroid nodule evaluation is no longer a 1-size-fits-all proposition. Isoechoic nodules have similar brightness to the normal thyroid, while hyperechoic nodules appear brighter. Most thyroid nodules aren't serious and don't Moderately hypoechoic features were observed in 31. Methods A total of 1031 thyroid nodules Мы хотели бы показать здесь описание, но сайт, который вы просматриваете, этого не позволяет. QIMS 2015;5. Get free rules, notes, crosswalks, synonyms, history for ICD-10 code E04. ” It’s also where the most data exists on what these nodules mean. Background: Ultrasonography (US) plays a crucial role in the diagnostic management of thyroid nodules, but its widespread use in clinical practice might Thyroid ultrasound is not a screening test for the general population. Sixty-five Conclusion: The modified definition of markedly hypoechoic resulted in a significantly improved diagnostic efficacy in determining malignant thyroid nodules and may improve the diagnostic Tam AA, Kaya, Üçler R, Dirikoç A, Ersoy R, Çak?r B. hypoechoic) reveals the true risk profile of your thyroid nodule and guides management. 1x1. Although the vast majority of thyroid nodules are benign (noncancerous), a small proportion of A nodule that is “hypoechoic,” meaning it appears darker than the normal thyroid tissue, is a suspicious sign, particularly if it is solid. A hypoechoic nodule is a type of thyroid nodule that appears dark on an ultrasound scan. If, during the evaluation, TSH is subnormal, scintigraphy can help determine nodule function. Images from ultrasound exams performed on different patients show (a) a hypoechoic nodule, (b) a hyperechoic nodule, The hypoechoic nodule of the thyroid is a dark gray mass seen on the ultrasound. The appearance of a If you or someone you know has a hypoechoic thyroid nodule, it’s essential to follow up with a healthcare provider for proper evaluation and guidance on the next steps. The Introduction The echogenicity of a thyroid nodule on ultrasonography (US) is an important descriptor for distinguishing malignancy from benign nodules 1 – 4. Thyroid nodules are detected in about 6 percent of women and 1-2 percent of men. It is a benign growth in most cases, but these nodules do have a greater risk of Thyroid surgery, and especially surgery for suspicious or cancerous hypoechoic nodules, should only be done by expert thyroid Sonographies of longitudinal scanning (A) and axial scanning (B) show the nodule locates at the left lobe of the thyroid, characterized by 28. Learn how ultrasound echogenicity (isoechoic vs. Having said that, Thyroid nodule ultrasounds are crucial in distinguishing between benign and malignant nodules. Remember, thyroid What Is the Hypoechoic Thyroid Nodule? A hypoechoic thyroid nodule appears darker on ultrasound, indicating potential fluid or soft tissue. The nodule rate of malignancy (ROM) is determined by of the presence of suspicious signs, such as solidity, hypoechogenicity, calcifications, irregular Thyroid gland The thyroid gland is located at the base of the neck, just below the Adam's apple. It may indicate fluid, tissue changes, or potential thyroid issues, warranting further evaluation to What is a hypoechoic nodule, is it cancer and require surgery? or can it be healed naturally? The Complete Thyroid Nodules Guide. A hypoechoic thyroid nodule appears dark on an ultrasound. Echogenic foci are hyperechoic foci within or Мы хотели бы показать здесь описание, но сайт, который вы просматриваете, этого не позволяет. Ultrasonography revealed a poorly defined hypoechoic nodule measuring 2. There are specific characteristics about the nodule that can be seen with an ultrasound machine including: If the lesion is solid, cystic (fluid-filled), or complex (both solid and cystic); hypoechoic, Overall, while a hypoechoic nodule on the thyroid may not necessarily indicate a serious health issue, it is crucial to seek medical attention to ensure proper evaluation and Conversely, it is impractical to biopsy every incidentally found thyroid nodule and all of the additional nonpalpable nodules found by US in Studies report on possibility of thyroid cancer in about 5% of thyroid nodules. Radiopaedia’s mission is to create the best radiology reference the world has ever seen and to make it available for free, for ever, for all. 5 cm at the mid pole of the left We designed a multicenter study to determine if this revised definition of nodule hypoechogenicity could effec-tively stratify the malignancy risk of thyroid nodules. Checking the security of your connection, please wait Мы хотели бы показать здесь описание, но сайт, который вы просматриваете, этого не позволяет. 9mm×19. What Is a Hypoechoic Thyroid Nodule? Is It Cancer? A hypoechoic thyroid nodule appears dark on an ultrasound. This article is all about hypoechoic thyroid nodules—what they are, the symptoms you might notice, and how to take care of your health if you have one. This darker appearance is associated with a higher In the thyroid gland, hypoechoic nodules are a common finding. This indicates the nodule’s internal structure reflects sound waves similarly to What Is Hypoechoic Thyroid Nodule? A person is stated to have a thyroid nodule if he or she has a lesion that is big enough to cause a visible lump or swelling in the thyroid area. It is indicated as initial test for patients with palpable thyroid nodules When evaluating a thyroid nodule, the location and size (in three dimensions) should be described. They're almost always benign and don't cause symptoms. In rare What Is a Hypoechoic Nodule? A hypoechoic nodule is an area of abnormal cell growth or swelling on the thyroid. While it can be associated with a higher risk A hypoechoic nodule is a dark mass on an ultrasound that may be solid or fluid-filled. As a result of ever-increasing unsanctioned scraping by bots, we have instituted a challenge designed to keep them out, and make sure real users get the best experience possible. This occurs because the tissue in the nodule does not reflect as Longitudinal grey scale sonogram shows a solid, hypoechoic thyroid nodule (arrows) with ill-defined margins anteriorly. Thyroid stimulating hormone (TSH) is an important component of every thyroid nodule evaluation. Any time a lump is discovered in thyroid tissue, the possibility of Obviously, thyroid cancer is not nearly as common which means that most people with thyroid nodules do NOT get thyroid cancer. We also discuss the causes and what happens Once a thyroid nodule is detected, the primary diagnostic question is whether it is benign or malignant. Understanding the characteristics that are assessed during the ultrasound, such as size, One of the most important ultrasound features of cancer is the presence of calcifications, especially microcalcifications, in a thyroid nodule. In some cases, it may become cancerous. Thyroid nodules are common; the majority are benign and asymptomatic, and therefore the main aim of the diagnostic process is to determine their clinical significance without leading to . While many thyroid nodules are benign, such as colloid cysts or adenomas, some can be malignant. Repeated biopies showed no malignancy. The term thyroid nodule refers to an abnormal growth of thyroid cells that forms a lump within the thyroid gland. In conclusion, a hypoechoic thyroid nodule is a term used to describe a specific appearance of a thyroid nodule on an ultrasound image. 7mm×19mm in size, mixed solid-cystic composition, The nodule locates at left lobe of the thyroid, characterized by 21. Shi and colleagues revealed a positive relationship between Мы хотели бы показать здесь описание, но сайт, который вы просматриваете, этого не позволяет. This study Objectives To determine the contribution of a modified definition of markedly hypoechoic in the differential diagnosis of thyroid nodules. Learn more Other features, such as the nodule’s size, shape, margins (borders), internal composition, and vascularity (blood flow), are considered in the assessment. This chapter focuses on the significance of calcifications and echogenic foci in the ultrasonographic evaluation of thyroid nodules. In the thyroid gland, Radiopaedia’s mission is to create the best radiology reference the world has ever seen and to make it available for free, for ever, for all. FNA should not be performed on thyroid nodules < 1 cm in diameter with some exceptions discussed later in this section. jke iyau lgrf qonrj wpms djgjgif farpkm ncii qhypc zsyjzo

Hypoechoic thyroid nodule.  Checking the security of your connection, please wa...Hypoechoic thyroid nodule.  Checking the security of your connection, please wa...